Dentiste Esthétique à Paris 16 ème - Facettes
Cabinet dentaire du Dr NAHON - Dentisterie Esthétique - Implant dentaire
+33 1 45 04 53 34
73 Avenue Paul Doumer, 75116 Paris
Dentiste Esthétique à Paris 16 ème - Facettes
Cabinet dentaire du Dr NAHON - Dentisterie Esthétique - Implant dentaire

Blog - Page 14

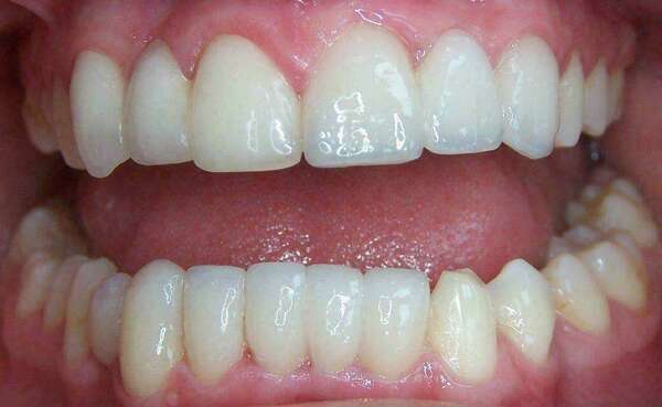
Cas de janvier 2021

Cas de janvier 2021

Cas de avril 2021

Cas de avril 2021

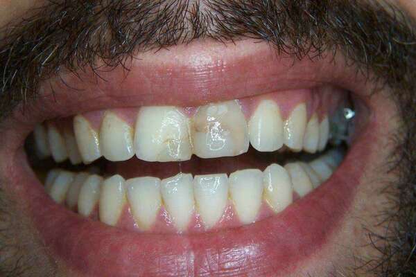
Usure dentaire : dents érodées et solutions

Usure dentaire : dents érodées et solutions

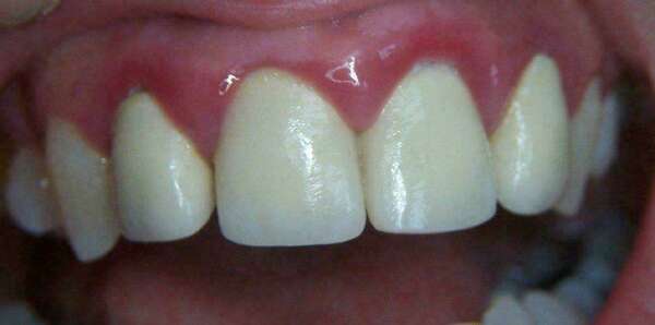
Cas de Mars 2021

Cas de Mars 2021

Affichage des articles 53-56 sur 231

Création par Webdentiste

Connexion