Dentiste Esthétique à Paris 16 ème - Facettes
Cabinet dentaire du Dr NAHON - Dentisterie Esthétique - Implant dentaire
+33 1 45 04 53 34
73 Avenue Paul Doumer, 75116 Paris
Dentiste Esthétique à Paris 16 ème - Facettes
Cabinet dentaire du Dr NAHON - Dentisterie Esthétique - Implant dentaire

Blog - Page 13

Dents déchaussées : dents mobiles ou gencive qui se rétracte

Dents déchaussées : dents mobiles ou gencive qui se rétracte

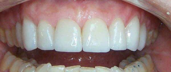
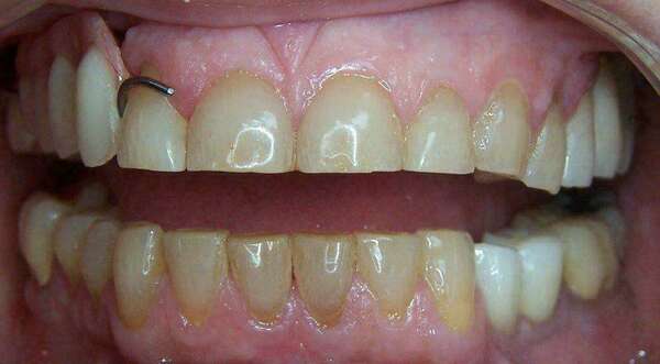
Cas de mai 2021

Cas de mai 2021

Problème de coloration dentaire : dents tachées et solutions

Problème de coloration dentaire : dents tachées et solutions

Cas de novembre 2021

Cas de novembre 2021

Affichage des articles 49-52 sur 231

Création par Webdentiste

Connexion