Dentiste Esthétique à Paris 16 ème - Facettes
Cabinet dentaire du Dr NAHON - Dentisterie Esthétique - Implant dentaire
+33 1 45 04 53 34
73 Avenue Paul Doumer, 75116 Paris
Dentiste Esthétique à Paris 16 ème - Facettes
Cabinet dentaire du Dr NAHON - Dentisterie Esthétique - Implant dentaire

Blog - Page 10

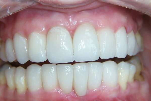
Facettes céramique - Cas traité au cabinet

Facettes céramique - Cas traité au cabinet

Les Édentations

Les Édentations

Dent arrachée, dent manquante

Dent arrachée, dent manquante

Cas de mars 2023

Cas de mars 2023

Affichage des articles 37-40 sur 231

Création par Webdentiste

Connexion