Dentiste Esthétique à Paris 16 ème - Facettes
Cabinet dentaire du Dr NAHON - Dentisterie Esthétique - Implant dentaire
+33 1 45 04 53 34
73 Avenue Paul Doumer, 75116 Paris
Dentiste Esthétique à Paris 16 ème - Facettes
Cabinet dentaire du Dr NAHON - Dentisterie Esthétique - Implant dentaire

Articles publiés par Dentiste Esthétique à Paris 16 ème - Facettes - Page 21

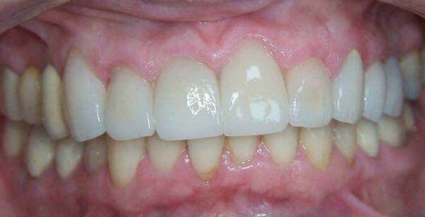
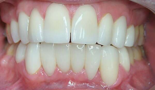
Réalignement des dents et teinte plus claire par la pose de facettes haut et bas - Cas du mois de mars 2016

Réalignement des dents et teinte plus claire par la pose de facettes haut et bas - Cas du mois de mars 2016

Cas du mois de mai 2016

Cas du mois de mai 2016

Cas du mois de juin 2016

Cas du mois de juin 2016

Cas du mois de Septembre 2016 - Facettes sur incisives

Cas du mois de Septembre 2016 - Facettes sur incisives

Affichage des articles 81-84 sur 113

Création par Webdentiste

Connexion