Dentiste Esthétique à Paris 16 ème - Facettes
Cabinet dentaire du Dr NAHON - Dentisterie Esthétique - Implant dentaire
+33 1 45 04 53 34
73 Avenue Paul Doumer, 75116 Paris
Dentiste Esthétique à Paris 16 ème - Facettes
Cabinet dentaire du Dr NAHON - Dentisterie Esthétique - Implant dentaire

Articles publiés par Dentiste Esthétique à Paris 16 ème - Facettes - Page 20

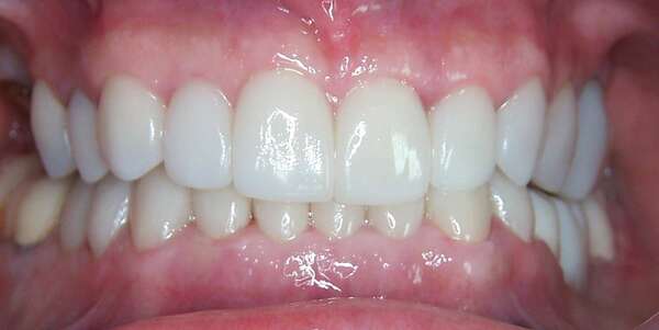
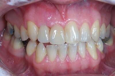
Cas du mois de décembre 2015

Cas du mois de décembre 2015

Cas du mois de Janvier 2016

Cas du mois de Janvier 2016

Restructuration du sourire - Cas du mois d'octobre 2015

Restructuration du sourire - Cas du mois d'octobre 2015

Cas du mois de février 2016

Cas du mois de février 2016

Affichage des articles 77-80 sur 113

Création par Webdentiste

Connexion