Accueil
Le cabinet
Plan
Urgence
Vidéos
Fiches Conseils
Protocole
Mes vidéos
Publications
Cas cliniques
Prendre RDV
Questionnaire pré-rdv
Contact
Dentiste Esthétique à Paris 16 ème - Facettes
Cabinet dentaire du Dr NAHON - Dentisterie Esthétique - Implant dentaire
Appeler
Localisation
+33 1 45 04 53 34
73 Avenue Paul Doumer, 75116 Paris
Accueil
Le cabinet
Plan
Urgence
Vidéos
Fiches Conseils
Protocole
Mes vidéos
Publications
Cas cliniques
Prendre RDV
Questionnaire pré-rdv
Contact
Dentiste Esthétique à Paris 16 ème - Facettes
Cabinet dentaire du Dr NAHON - Dentisterie Esthétique - Implant dentaire
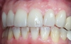
Transformation des gencives et des dents à l’aide de facettes dentaires
Fiches conseils
Partager
Twitter
Partager
Partager
Envoyer
Copier
Dentiste Esthétique à Paris 16 ème - Facettes
73 Avenue Paul Doumer
75116
Paris
+33 1 45 04 53 34
Politique de confidentialité et charte cookie
Mentions légales
Conditions Générales Utilisation
Charte déontologique
Ordre national
Annuaires chirurgiens dentistes
Création par
Connexion