Dentiste Esthétique à Paris 16 ème - Facettes
Cabinet dentaire du Dr NAHON - Dentisterie Esthétique - Implant dentaire
+33 1 45 04 53 34
73 Avenue Paul Doumer, 75116 Paris
Dentiste Esthétique à Paris 16 ème - Facettes
Cabinet dentaire du Dr NAHON - Dentisterie Esthétique - Implant dentaire

Articles publiés par Dentiste Esthétique à Paris 16 ème - Facettes - Page 5

Fermeture des espaces dentaires et soins des gencives en même temps

Fermeture des espaces dentaires et soins des gencives en même temps

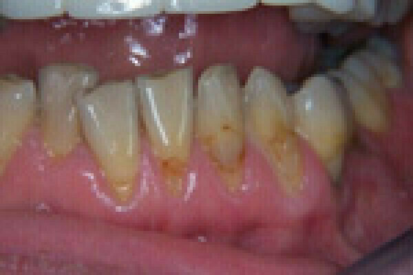
Facettes Dentaires et déchaussement apparent

Facettes Dentaires et déchaussement apparent

Transformation de la forme et de la couleur des dents, transformation des gencives et réalignement des dents

Transformation de la forme et de la couleur des dents, transformation des gencives et réalignement des dents

Transformation d’une canine en incisive et d’une prémolaire en canine

Transformation d’une canine en incisive et d’une prémolaire en canine

Affichage des articles 17-20 sur 113

Création par Webdentiste

Connexion